spazio_left_interna
Titolo
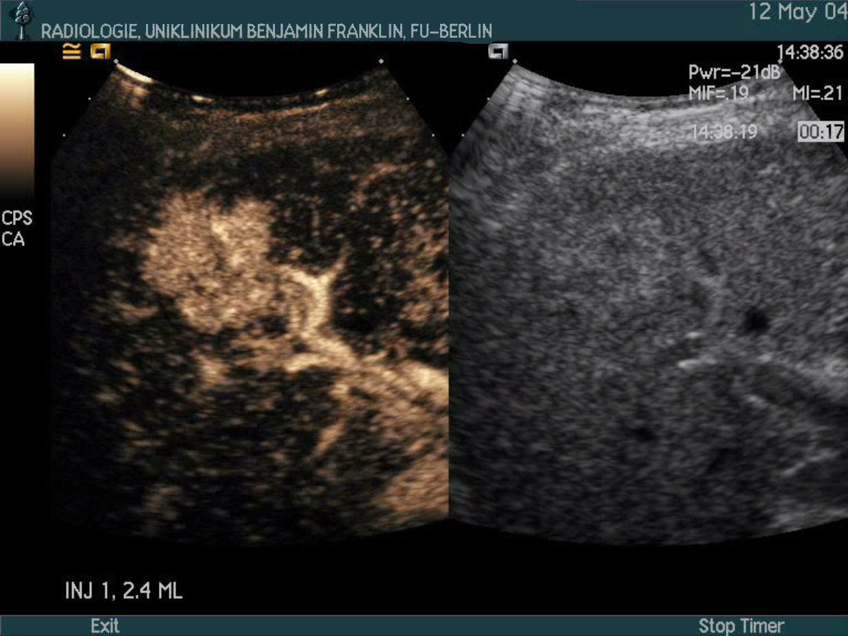
Contrast Specific Techniques
Corpo
The oscillating microbubbles create a signal which is specific and different from the signal coming back from tissue. This allows separation of tissue signals and contrast agent signals based on the signal characteristics.
Using a dedicated software on the ultrasound scanner which is able to discriminate tissue- and contrast agent signals in realtime even very weak contrast agent signals can be detected and displayed on a black background (void of overlapping tissue signals).
With modern scanners, even signals from single microbubbles can be displayed and tracked.

Burns P, Bubbles and how ultrasound systems talk to them: In: Contrast-Enhanced Ultrasound (2 Ed), Uni-Med press Bremen, 2011, pp.16-26

